ИДЕАЛЬНАЯ УЛЫБКА С ПОМОЩЬЮ БРЕКЕТОВ 🤍
Возраст пациента: 21 год.
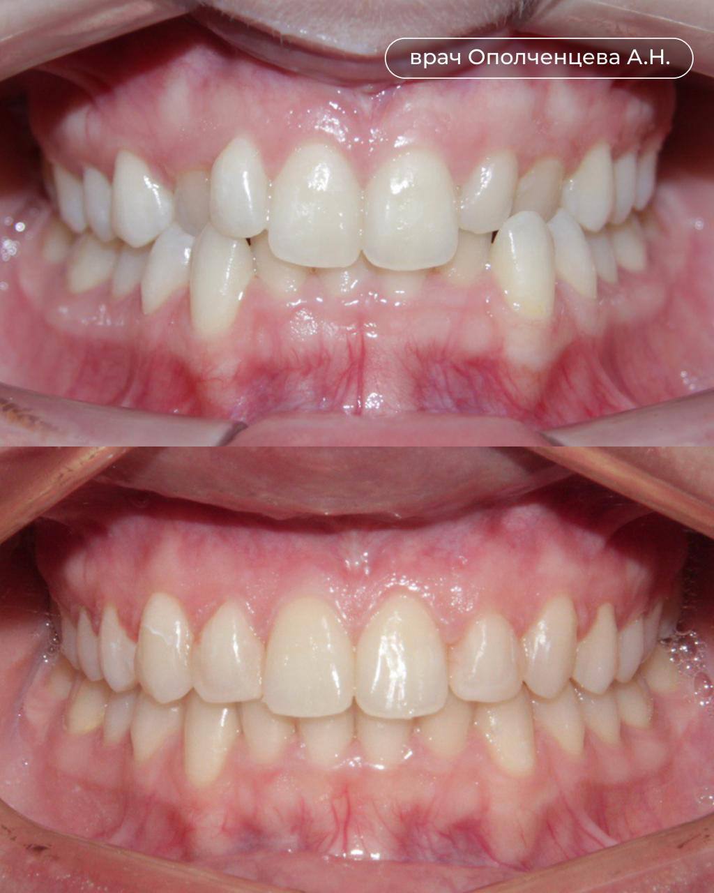
Запрос пациента: Сделать красивую улыбку. Пациентку беспокоило, что верхние клыки из-за своего положения выглядят темнее остальных зубов. Также пациентка отмечала щелчки и боли в височно-нижнечелюстном суставе.
Какие методики использовались:
После осмотра и диагностики врач приступил к лечению с помощью брекет-системы.
Комментарий врача
Было выполнено выравнивание зубных рядов с помощью брекет-системы Damon Q и нормализована арка улыбки. Также мы вывели нижнюю челюсть из блокирующего движения положения и устранили щелчки и боли в ВНЧС. Срок лечения — около 11 месяцев.
✔️ Я занимаюсь комплексной диагностикой и лечением аномалий прикуса, неправильного расположения зубов, нарушений развития челюстей, дисфункции височно-нижнечелюстного сустава, а также профилактикой развития зубочелюстных аномалий.
Составляю индивидуальные планы лечения на основе рентгеновских снимков, фотопротокола и диагностических моделей зубов. Веду пациентов с этапом хирургической коррекции прикуса.
В своей работе использую различные виды брекет-систем, элайнеры, окклюзионные сплинты, съемные и несъемные аппараты.
✔️ Я занимаюсь комплексной диагностикой и лечением аномалий прикуса, неправильного расположения зубов, нарушений развития челюстей, дисфункции височно-нижнечелюстного сустава, а также профилактикой развития зубочелюстных аномалий.
Составляю индивидуальные планы лечения на основе рентгеновских снимков, фотопротокола и диагностических моделей зубов. Веду пациентов с этапом хирургической коррекции прикуса.
В своей работе использую различные виды брекет-систем, элайнеры, окклюзионные сплинты, съемные и несъемные аппараты.
Результат
Ровная, красивая улыбка.
Ополченцева Алина Николаевна,
Врач-ортодонт клиники «Красивые Люди» в Санкт-Петербурге.
СТРАНИЦА СПЕЦИАЛИСТА
Врач-ортодонт клиники «Красивые Люди» в Санкт-Петербурге.
СТРАНИЦА СПЕЦИАЛИСТА
В центре BEAUTIFUL PEOPLE ("Красивые люди") работают опытные врачи-косметологи, которые подберут для вас оптимальный курс процедур, учитывая ваши индивидуальные особенности и пожелания. С нами вы сможете избавиться от беспокойств перед летним сезоном и обрести уверенность в своей красоте.