Добро пожаловать в сеть клиник Beautiful People
«Красивые Люди»
с 2018 года
Все услуги
Стоматология
Контурная пластика
Инъекционная косметология
Аппаратные уходы
Эстетическая косметология
Лечение кожи
Моделирование лица и тела
Лазерная эпиляция
Консультации
 
Все услуги
Медицинские услуги
Стоматология
Контурная пластика
Инъекционная косметология
Аппаратные уходы
Эстетическая косметология
Лечение кожи
Моделирование лица и тела
Лазерная эпиляция
Консультации
Beautiful People

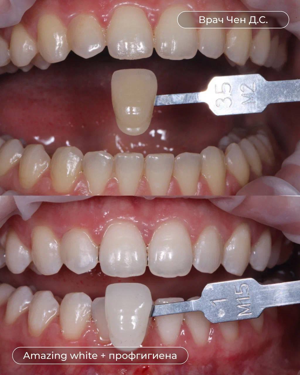
БЕЛОСНЕЖНАЯ УЛЫБКА БЕЗ НАЛЕТА 🤍

Результаты до-после

БЕЛОСНЕЖНАЯ УЛЫБКА БЕЗ НАЛЕТА 🤍


Возраст пациента: 25−30 лет.

Запрос пациента: Пациент обратился с жалобами на неудовлетворительный цвет зубов.

Какие методики использовались:

Врач принял решение провести профессиональную гигиену полости рта и отбеливание Amazing White.
Лечение кариеса и изменение цвета зуба - до и после

Комментарий врача

В качестве подготовки была проведена процедура профессиональной гигиены. Далее провели отбеливание Amazing White. Оно позволяет добиться осветления зубов на 5−7 тонов, что является хорошим показателем среди профессиональных методов отбеливания.

Результат

Здоровая и белоснежная улыбка без зубных отложений и налета.
Бакаева Милана Муратовна
Чен Дина Сергеевна,
Врач-стоматолог-ортопед клиники «Красивые Люди» в Санкт-Петербурге, опыт работы с 2021 года

СТРАНИЦА СПЕЦИАЛИСТА
В центре BEAUTIFUL PEOPLE ("Красивые люди") работают опытные врачи-косметологи, которые подберут для вас оптимальный курс процедур, учитывая ваши индивидуальные особенности и пожелания. С нами вы сможете избавиться от беспокойств перед летним сезоном и обрести уверенность в своей красоте.