Добро пожаловать в сеть клиник Beautiful People
«Красивые Люди»
с 2018 года
Все услуги
Стоматология
Контурная пластика
Инъекционная косметология
Аппаратные уходы
Эстетическая косметология
Лечение кожи
Моделирование лица и тела
Лазерная эпиляция
Консультации
 
Все услуги
Медицинские услуги
Стоматология
Контурная пластика
Инъекционная косметология
Аппаратные уходы
Эстетическая косметология
Лечение кожи
Моделирование лица и тела
Лазерная эпиляция
Консультации
Beautiful People

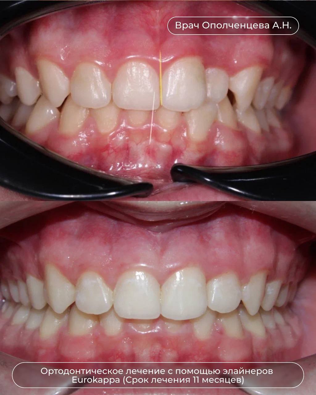
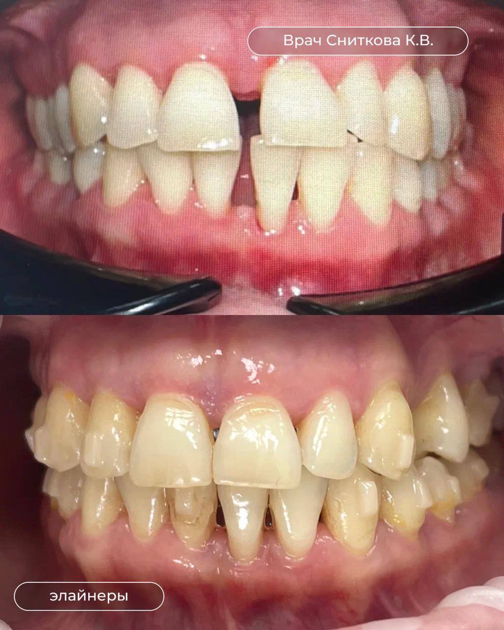
В чем отличие брекетов от элайнеров

Результаты до-после Спроси у специалиста
Когда речь заходит о коррекции зубов, часто пациенты сталкиваются с выбором между традиционными брекетами и современными элайнерами. Мы решили рассмотреть эти варианты в нашей статье в сравнительном ключе.

Комфорт и ощущения при ношении

Если вы решите воспользоваться брекетами, будьте готовы к тому, что в первые 2-3 дня будет ощущаться натяжение и давление в зубах – это нормальная реакция, которая свидетельствует о том, что система работает. Однако важно отметить, что это не боль. Легкий дискомфорт быстро проходит, и вскоре вы привыкнете.
Элайнеры дают совершенно другие ощущения. Они обеспечивают мягкое давление на зубы, не вызывая острых болей и натираний, как это бывает с брекетами. Более того, элайнеры не травмируют слизистую, не царапают щёки и губы, а также не мешают говорить и есть. Вам не придётся привыкать к металлическим дугам и лигатуре.

Эстетика и внешний вид

Когда мы говорим об эстетике, элайнеры выигрывают по всем направлениям. Они практически незаметны на зубах, что позволяет вам чувствовать себя уверенно в любой ситуации, будь то деловая встреча или вечеринка. Брекеты же, особенно металлические, бросаются в глаза и могут вызывать чувство неуверенности, особенно у подростков и молодых людей.

Уход и гигиена

Гигиена полости рта – еще один важный момент, который стоит учитывать при выборе метода коррекции. Элайнеры легко снимаются, что позволяет осуществлять привычный уход за зубами, как и прежде. Вы можете спокойно чистить зубы и использовать зубную нить без каких-либо ограничений.
В отличие от этого, уход за брекетами требует больше усилий и времени. Постоянные металлические конструкции прилипают к пище, а это значит, что вам придется уделять больше внимания чистке и использовать специальные щетки.

Ограничения в еде

Эстетика и уход – это не единственные преимущества элайнеров. Они также не накладывают никаких ограничений на ваше питание. Вы можете наслаждаться любимыми блюдами, не беспокоясь о том, как это повлияет на ваше лечение. А вот с брекетами нужно будет избегать жесткой и липкой пищи, которая может повреждать конструкции.

Процесс лечения элайнерами

В первую очередь, вам нужно пройти диагностику и создать 3D-план лечения. Это позволит вам увидеть, как будут меняться ваши зубы на протяжении всего курса. Затем вы получите индивидуальные элайнеры, которые точно подойдут в вашем конкретном случае. Комплекты меняется каждые 1-2 недели, благодаря чему система мягко и точно выравнивает зубы.
Весь процесс находится под контролем опытного ортодонта, который будет сопровождать вас на каждом этапе. Вы всегда сможете задать вопросы и получить поддержку, что сделает лечение более комфортным и менее стрессовым.
Всё зависит от ваших нужд и предпочтений. Если вы ищете комфорт, эстетику и удобство, элайнеры будут отличным выбором. Если же вас не пугает металлическая улыбка и дополнительные меры ухода, можно выбрать и брекеты.
Если вы хотите сделать первые шаги к идеальной улыбке, запишитесь на консультацию в клинику BEAUTIFUL PEOPLE («Красивые Люди»). Запишитесь на встречу с врачом любым удобным для вас способом, и он подробно расскажет, с чего начать ваш путь к уверенной и красивой улыбке!