Добро пожаловать в сеть клиник Beautiful People
«Красивые Люди»
с 2018 года
Все услуги
Стоматология
Контурная пластика
Инъекционная косметология
Аппаратные уходы
Эстетическая косметология
Лечение кожи
Моделирование лица и тела
Лазерная эпиляция
Консультации
 
Все услуги
Медицинские услуги
Стоматология
Контурная пластика
Инъекционная косметология
Аппаратные уходы
Эстетическая косметология
Лечение кожи
Моделирование лица и тела
Лазерная эпиляция
Консультации
Beautiful People

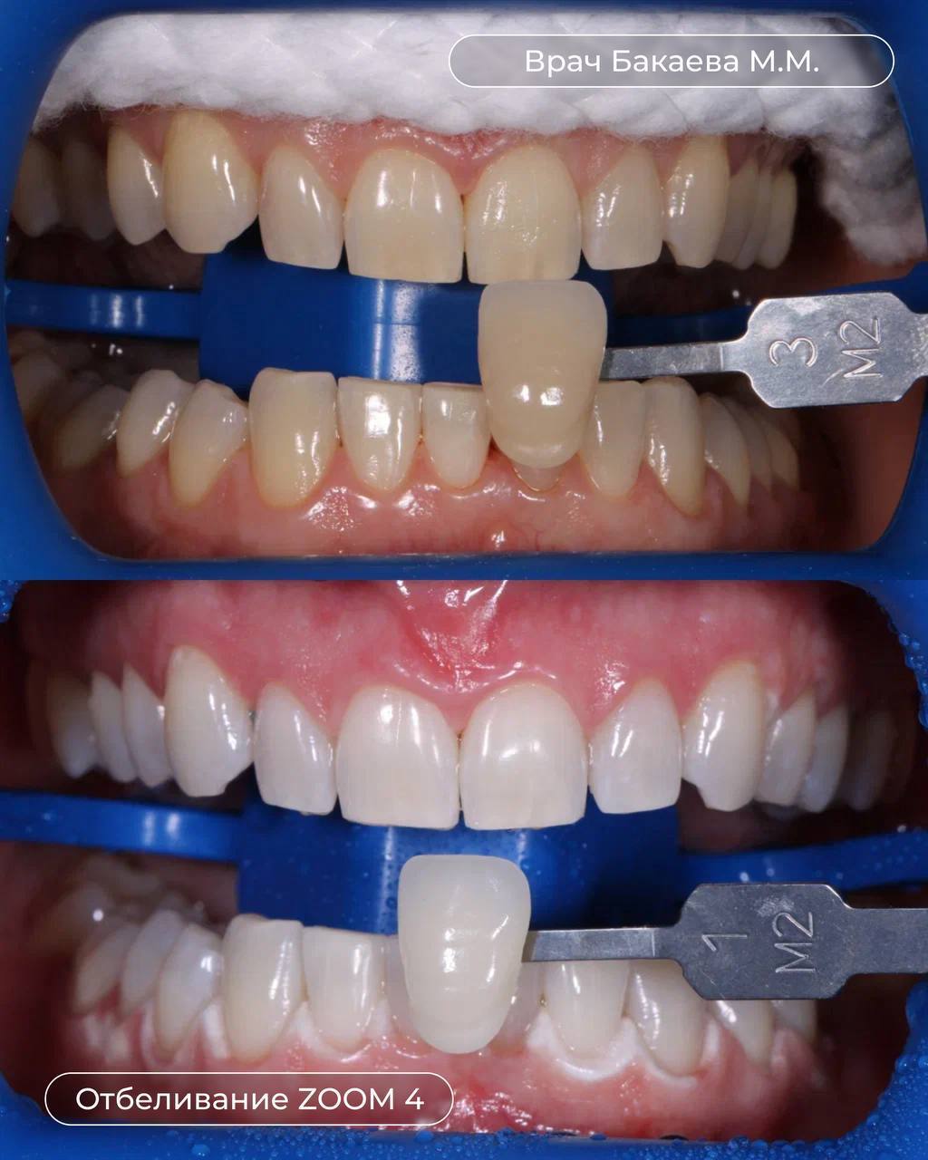
БЕЛОСНЕЖНАЯ УЛЫБКА ЗА ОДНО ПОСЕЩЕНИЕ 🤍

Результаты до-после

БЕЛОСНЕЖНАЯ УЛЫБКА ЗА ОДНО ПОСЕЩЕНИЕ 🤍


Возраст пациента: 25−30 лет.

Запрос пациента: Пациент обратился с жалобами на неудовлетворительный цвет зубов.

Какие методики использовались:

Врач принял решение провести процедуру отбеливания PHILIPS ZOOM 4.
Лечение кариеса и изменение цвета зуба - до и после

Комментарий врача

Пациент ранее данную процедуру не проводил, до отбеливания подробно рассказали про показания и противопоказания, этапы и потенциальный результат.

👉 Первое, что мы сделали — профессиональную гигиену полости рта. Далее провели 3 этапа отбеливания по 15 минут. В процессе могут быть простреливающие боли, но абсолютно терпимые. После процедуры нанесли гель для снижения чувствительности.

Далее пациент должен соблюдать «белую» диету в течение 2−4 недель и следовать рекомендациям по уходу за зубами.

Процедуру можно проводить раз в 6 месяцев, результат сохраняется до 1 года и дольше.

Результат

Идеально белые зубы.
Бакаева Милана Муратовна
Бакаева Милана Муратовна,
Стоматолог клиники «Красивые Люди» в Санкт-Петербурге, опыт работы с 2021 года.

СТРАНИЦА СПЕЦИАЛИСТА
В центре BEAUTIFUL PEOPLE ("Красивые люди") работают опытные врачи-косметологи, которые подберут для вас оптимальный курс процедур, учитывая ваши индивидуальные особенности и пожелания. С нами вы сможете избавиться от беспокойств перед летним сезоном и обрести уверенность в своей красоте.