Добро пожаловать в сеть клиник Beautiful People
«Красивые Люди»
с 2018 года
Все услуги
Стоматология
Контурная пластика
Инъекционная косметология
Аппаратные уходы
Эстетическая косметология
Лечение кожи
Моделирование лица и тела
Лазерная эпиляция
Консультации
 
Все услуги
Медицинские услуги
Стоматология
Контурная пластика
Инъекционная косметология
Аппаратные уходы
Эстетическая косметология
Лечение кожи
Моделирование лица и тела
Лазерная эпиляция
Консультации
Beautiful People

ПОЛУЧИТЕ ИДЕАЛЬНУЮ УЛЫБКУ!

Результаты до-после

ПОЛУЧИТЕ ИДЕАЛЬНУЮ УЛЫБКУ!


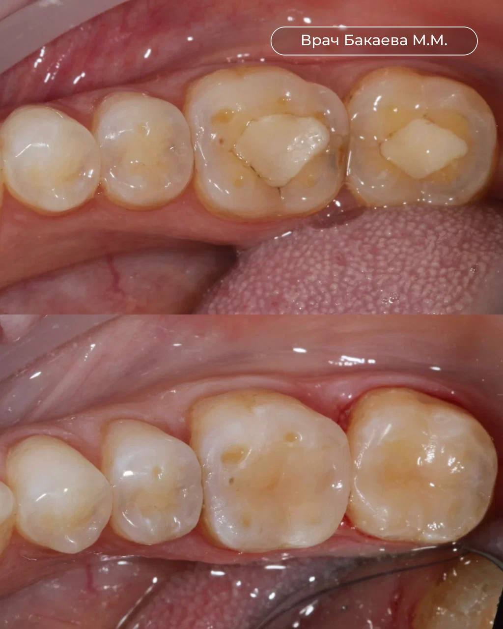
Возраст пациента: 30−35 лет.

Запрос пациента: Пациентка обратилась с жалобами на застревание пищи между зубами.

Какие методики использовались:

После осмотра врач стоматолог приступил к комплексному лечению.
Лечение кариеса и изменение цвета зуба - до и после

Комментарий врача

На фото «до» мы видим несостоятельные пломбы на жевательной поверхности зубов 4.6 и 4.7 и кариозный процесс на контактных поверхностях.

Лечение:

▫️ Анестезия проводниковая.

▫️ Изоляция рабочего поля.

▫️ Препарирование и формирование полости.

▫️ Медикаментозная обработка.

▫️ Пломбирование материалом Optishade Dark.

▫️ Полировка и небольшая коррекция по прикусу.

Результат

Здоровые зубы без кариеса.
Бакаева Милана Муратовна
Бакаева Милана Муратовна,
Стоматолог клиники «Красивые Люди» в Санкт-Петербурге, опыт работы с 2021 года.

СТРАНИЦА СПЕЦИАЛИСТА

Вы из Санкт-Петербурга?
Записать вас на консультацию?

Записаться

В центре BEAUTIFUL PEOPLE ("Красивые люди") работают опытные врачи-косметологи, которые подберут для вас оптимальный курс процедур, учитывая ваши индивидуальные особенности и пожелания. С нами вы сможете избавиться от беспокойств перед летним сезоном и обрести уверенность в своей красоте.