Добро пожаловать в сеть клиник Beautiful People
«Красивые Люди»
с 2018 года
Все услуги
Стоматология
Контурная пластика
Инъекционная косметология
Аппаратные уходы
Эстетическая косметология
Лечение кожи
Моделирование лица и тела
Лазерная эпиляция
Консультации
 
Все услуги
Медицинские услуги
Стоматология
Контурная пластика
Инъекционная косметология
Аппаратные уходы
Эстетическая косметология
Лечение кожи
Моделирование лица и тела
Лазерная эпиляция
Консультации
Beautiful People

СТОМАТОЛОГИЯ БЕЗ БОЛИ СУЩЕСТВУЕТ — И ОНА НАЧИНАЕТСЯ В BEAUTIFUL PEOPLE ✨

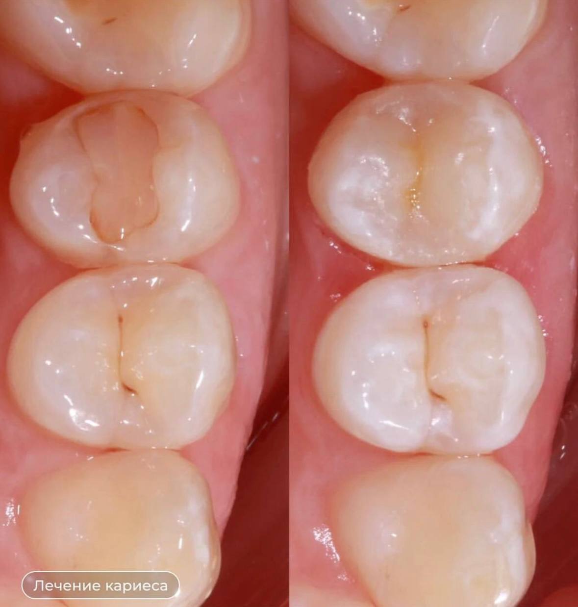
Результаты до-после
СТОМАТОЛОГИЯ БЕЗ БОЛИ СУЩЕСТВУЕТ — И ОНА НАЧИНАЕТСЯ В BEAUTIFUL PEOPLE ✨
К сожалению, большинство людей вспоминают о стоматологе только тогда, когда зуб уже болит.
🤍 А ведь современная стоматология давно перестала быть синонимом боли и неприятных ощущений! Сегодня лечение кариеса — это точная, комфортная и абсолютно безопасная процедура, которая позволяет сохранить зуб живым и здоровым на долгие годы.
В клинике Beautiful People (Красивые Люди) мы используем:

✔️ Современные аппараты и увеличение, которые помогают врачу видеть мельчайшие участки поражения, даже те, что скрыты под старой пломбой или эмалью.

✔️ Высококачественные пломбировочные материалы идеально подходящие по цвету к вашим зубам.

✔️ Щадящие методы обезболивания, чтобы лечение проходило максимально комфортно.

✔️ А наши стоматологи — врачи с опытом, владеющие современными методиками лечения.
Такой комплексный подход позволяет успешно лечить кариес на любой стадии, сохраняя не только функциональность, но и естественную эстетику зуба!
Результат — здоровая, красивая улыбка и уверенность, что с вашими зубами все под контролем 🤍
На консультации в клинике BEAUTIFUL PEOPLE («Красивые Люди») врач составит для вас предварительную индивидуальную программу, и поможет с решением других вопросов, которые вас волнуют. Для записи просто свяжитесь с нами любым удобным для вас способом.